108-48 70th Road, , Forest Hills, NY 11375
(718) 577-2286

Smile Gallery

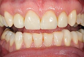
The image shows a close-up view of a person s teeth with a yellowish hue, indicating possible staining or discoloration.

Before

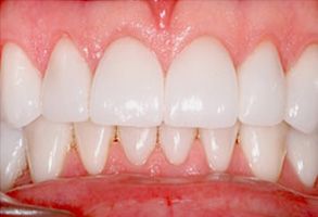
The image shows a close-up view of a person s smiling mouth with white teeth, wearing lipstick, against a neutral background.

After

The image displays a close-up view of a person s teeth with a focus on dental work, featuring yellowed teeth and a pink gumline.

Before

The image displays a close-up view of a person s teeth with yellowish stains, showcasing a smile with an open mouth revealing some discoloration on the front teeth.

After

The image shows a close-up of a person s face with a focus on their teeth  they appear to be smiling, displaying white teeth with a slight gap between them.

Before

The image displays a close-up of a person s facial features with a focus on their mouth and teeth, showcasing a smile with white teeth and pink gums.

After

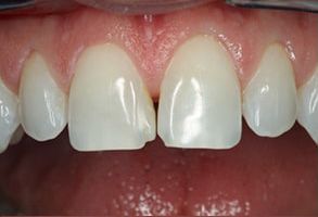
The image displays a close-up view of a person s teeth with visible signs of dental work, such as fillings and possibly a veneer, set against a blurred background that appears to be a human mouth.

Before

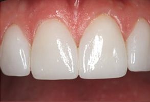
The image shows a close-up view of a person s teeth with a focus on the upper front teeth, which appear to be well-maintained with a white color and are set against the background of the lower lip and chin.

After

The image shows a close-up view of a person s teeth with yellowing, indicating possible dental issues such as discoloration or decay.

Before

The image shows a close-up view of a person s teeth with an emphasis on dental hygiene, likely used for educational purposes to demonstrate proper oral care.

After

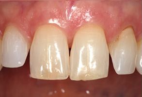
The image displays a close-up view of a person s teeth with a focus on a dental implant, showcasing its integration into the surrounding natural teeth.

Before

The image shows a close-up of a person s teeth with a focus on a large gap between two front teeth, which are visible at the top of the frame.

After

The image shows a close-up view of a person s teeth with yellowing and staining, which may indicate poor oral hygiene or dental issues such as tooth decay or gum disease.

Before

The image shows a close-up view of a person s teeth with a focus on a yellowing or stained area near the gum line, which might suggest dental issues such as tooth decay or discoloration.

After

The image displays a logo with text, which includes a stylized emblem resembling a bird s head, a circular design with the words  FOREST HILLS  in bold uppercase letters, and below that, a smaller text reading  PUBLIC RELATIONS.  The background is white, and there are two horizontal bars at the bottom of the logo.